WHAT IS LORDOSIS?
Lordosis is the natural curvature of the lower back, between the ribs and the pelvis, as seen from the side. Its presence is very important and too little (hypolordosis) or too much (hyperlordosis) curvature may, in the more or less long term, lead to neuro-muscular or skeletal conditions, such as lumbar pain, sciatica and even disc herniation.
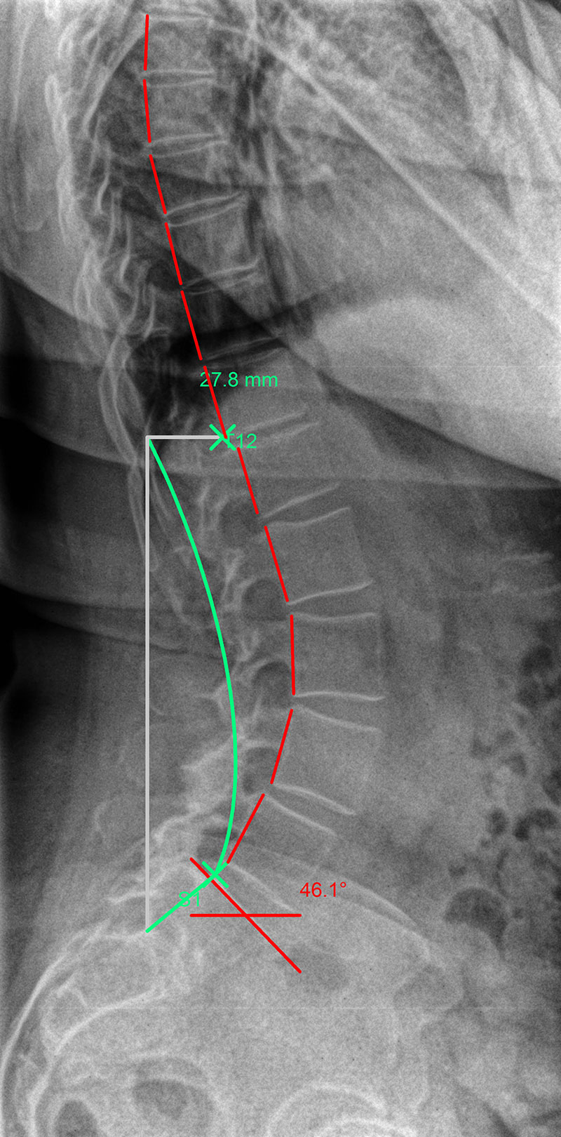
![Hyperlordosis [image]](../img/colonne_hyperlordose_duo.png)
HYPERLORDOSISWe often hear: “My doctor told me I have lordosis.” This misnomer usually designates hyperlordosis, and is often associated with acute, but recurring back pain. In the most severe cases, it can lead to vertebral instability characteristic of spondylolisthesis and cause compression of the horsetail nerve (termination of the spinal cord) in the spinal canal (spinal stenosis). If the instability leads to such severe symptoms such as loss of leg strength and sensitivity, or even incontinence, surgery may become necessary. |
![Hypolordosis [image]](../img/photo_cyphose_03_duo.gif)
HYPOLORDOSISHypolordosis is no less problematic, especially among the ageing. Indeed, the likely and gradual loss of normal lower back curvature due to senescence may lead to chronic backache, severe disc degeneration and in extreme cases to bent spine syndrome, a.k.a camptocormia; a condition where the flattening of the lumbar spine becomes such that it pushes the torso forward and the individual eventually has to bend their knees to be able to look ahead. This condition may or may not be associated with degenerative De Novo scoliosis, which introduces the further complication of vertebral instability (rotary subluxation or dislocation, lumbar and spinal stenosis), which can also lead to serious neurological symptoms. |
Fortunately, not all cases of hyper- or hypolordosis are as serious, however maintaining healthy lower back curvature nonetheless remains a vital part of healthy ageing and can prevent a host of health issues attributable to the deficient alignment of the lumbar spine.
The cervical spine also has a lordosis (cervical lordosis) and it is just as vital to optimal patient health. It can be affected by the same types of conditions with even more disastrous consequences due to the fact that it is located upstream on the spinal cord (closer to the brain). It is therefore important that the cervical alignment of your family members be checked in order to prevent the development of a vertebral subluxation that could impede the proper functioning of the entire nervous system, which governs all bodily functions.
WHEN TO CONSULT?
If you think you or a family member may be suffering from hyper- or hypolordosis or another spinal deformity, contact us, so that we may confirm or infirm the diagnosis using the appropriate assessments and x-rays.
Hyperlordosis: |
Hypolordosis: |
The green line represents the ideal spinal curvature and the red line that of the patient’s spine in profile view.



![Kyphosis [image]](../img/photo_lordose_01.jpg)
![Kyphosis [image]](../img/photo_lordose_02.jpg)